Cabinet Dentaire du Dr Bruno Lasfargue à Châtillon
en Michaille
Dentiste près de Bellegarde sur Valserine
Cabinet Dentaire du Dr Bruno Lasfargue à Châtillon
en Michaille

P.A. des Etournelles ''au Fay'' 682 rue Santos Dumont
01200 Châtillon-en-Michaille

Dentiste près de Bellegarde sur Valserine

Blog - Page 6

Comblement de sinus par voie latérale (sinus lift) avec implantation différée

Comblement de sinus par voie latérale (sinus lift) avec implantation différée

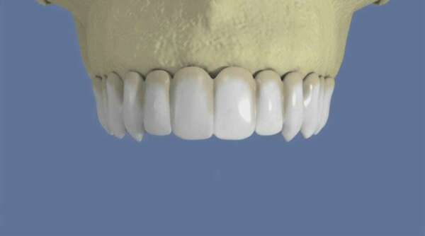
Maxillaire : bridge vissé sans fausse gencive

Maxillaire : bridge vissé sans fausse gencive

Le traitement non chirurgical de la parodontite

Le traitement non chirurgical de la parodontite

Traitement orthodontique esthétique par gouttières

Traitement orthodontique esthétique par gouttières

Le cas spécifique de la luxation de la mâchoire

Le cas spécifique de la luxation de la mâchoire

Corriger le vieillissement péri-buccal grâce à l’acide hyaluronique

Corriger le vieillissement péri-buccal grâce à l’acide hyaluronique

Affichage des articles 31-36 sur 223

Création par Webdentiste

Connexion