Cabinet Dentaire du Dr Bruno Lasfargue à Châtillon
en Michaille
Dentiste près de Bellegarde sur Valserine
Cabinet Dentaire du Dr Bruno Lasfargue à Châtillon
en Michaille

P.A. des Etournelles ''au Fay'' 682 rue Santos Dumont
01200 Châtillon-en-Michaille

Dentiste près de Bellegarde sur Valserine

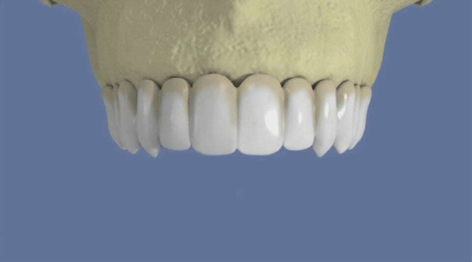
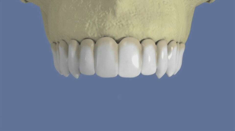
Maxillaire : bridge vissé sans fausse gencive


video-play-icon

Articles similaires

Création par Webdentiste

Connexion